Looking vs seeking
Are you the cucumber or the vine?
Four Parts: Fake Pringles, Numb to numbness, Art, Oh God, why don’t you give me some credit?
Part 1: Fake Pringles
X-country is fun. Today I bought fake Pringles at Trader Joes and brought them to practice. Many people run too tense and one of the things they do is clench their fists as they run. One way to train around this is to have the runner hold a Pringle delicately in each hand and then let them run around with the goal of not breaking the chip. Today was very succesful. The team ran the 1/3 mile loop holding chips with only one breakage. I think the breakage fellow would have made it but he succumbed to some trickery by a fellow runner…. the dreaded fist bump. They then got to eat their prize. We then focused on breathing. I asked them to track how long they inhale and exhale as they run. I typically breathe in four steps and then out four steps. I asked the young runners what they learned after they ran their lap. “Breathing is important” was my favorite answer.
Part 2: Numb to numbness
I went to a neurosurgeon yesterday to go over my MRI results. Apparently he didn’t get the memo that I am not too worried about pain or that I am worried about numbness and weakness. He was all concerned about my level of pain and prescribed drugs and talked more about pain and didn’t seem to give a hoot at all that I’ve got numbness and tingling and it’s just not right. Very frustrating. Sigh. At least he didn’t jump right in and want to do surgery. CHOP CHOP, let’s move along.
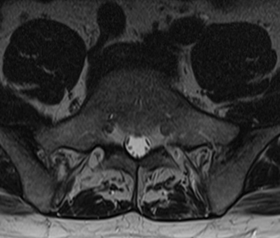
Part 3: Art
What do you see?
This is from my MRI. Lovely, isn’t it?
Part 4. Oh God, why don’t you give me some credit?
If you don’t know, I teach technology at a TK-8 Catholic School. I am not Catholic. My life is really not faith based. I would say a lot about how I live is moral based. I do try to be a good person. I am always trying to be better. I have found that no matter how fabulous I might be, I can always be better. I like to surround myself with individuals that are also trying to be good people. It is all about the effort and I like where I am for that reason. They are genuinely good people trying to help our youth become good people.
Earlier in life I did have a faith based period. It was when I attended Haller Lake Baptist Church in Shoreline - just north of Seattle. The people there worked hard at being good and they asked tough questions about the Bible. I liked it. The Bible studies were like college philosophy classes. But I moved and I didn’t like the new Baptist group I found and I realized, that for me at least, it was really more about the group of people. They were good people.
I really like Pope Francis. Don’t judge, be kind, use technology responsibly. He’s great. When I give my students typing tests I like to pull the text from the writings or homilies of Pope Francis. This past Sunday the Angelus was about generosity, love and fairness. We humans tend to want to percieve things as being fair. We dull our own generosity out of a fear of not being equal or out of a feeling that we should only give based on what we receive. Francis refers to this as a “cage of calculation”*. This is kind of messed up. Just give. Give without expectation. Do not create a “mercantile” relationship with those you love, just give. Just love.
*Pope Francis! Pulled from The Holy See 9/27/23. You can check it out here: https://www.vatican.va/content/francesco/en/angelus/2023/documents/20230924-angelus.html


