Pain or numbness?
The head the toe, big joint grown, walnut, bruised hamstrings taught, bowlike, years and years back oooch, always that's the normal day to day... no complaints PAIN is normal. expected. Then one day... the tingle that resembles poison oak is not. It is phantom, tingling, then disappearing a tiny circle of total numbness. Growing. Alert! Alarm! Warning! Police! Doctor! PT, XRAY, MRI... don't let me lose this pain. No pain? worse than pain.
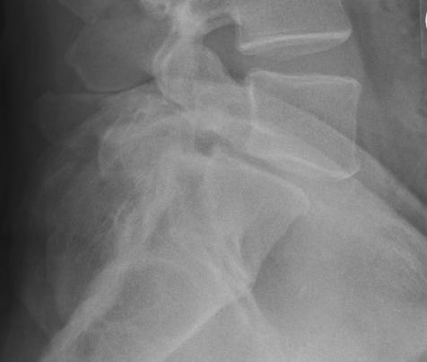
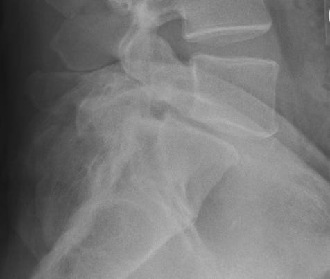
See the slip? That's where my numbness comes from.


